顺义妇幼开展超声引导下玻尿酸注射:可视化技术为医美安全加码
当下,医疗美容行业正从“粗放式变美”向精准化、微创化、安全化快速升级,面部抗衰、轮廓精雕等需求持续增长,对技术与安全提出更高要求。
近日,北京儿童医院顺义妇儿医院医学美容中心(整形美容外科)正式推出超声引导下玻尿酸填充技术,以可视化精准操作替代传统经验式注射,在不动刀、恢复期短的基础上,把医美安全标准推上新台阶,为求美者带来更安心、更自然的变美选择。
随着年龄增长,皮肤营养流失、深层支撑结构松弛,泪沟、法令纹、木偶纹逐渐显现,面中部扁平下垂、下颌缘轮廓模糊、组织堆积等问题接踵而至,让面部呈现疲惫、衰老状态。这类衰老并非单一纹路问题,而是深层支撑垮塌引发的连锁反应。
玻尿酸填充凭借微创、即刻见效的优势,成为面部年轻化主流选择——通过材料支撑力将下垂组织复位,或补充容积改善脂肪流失造成的松垮,相比传统拉皮手术,更适合追求“微调抗衰”的人群。
然而,由于每个人的面部血管走行和深度都各不相同,这种操作有时存在一定的风险。因此,在进行医美项目时,选择正规的医疗机构显得尤为重要。
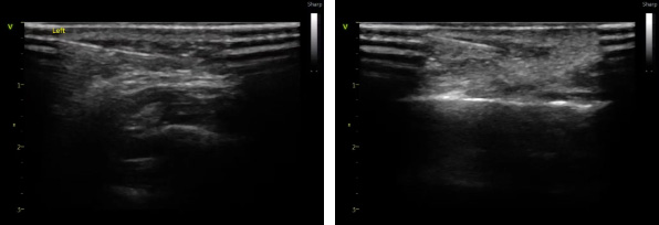
彩超引导下的玻尿酸填充,本质是给医生装上了“透视眼”。它通过实时影像监控,将注射从“凭经验盲打”升级为“可视化精准操作”,安全性与有效性的有利保障。

△ 超声引导下玻尿酸不同层次填充时呈像
优势主要体现在以下三个方面:
一是精准避让血管,降低栓塞风险。超声可清晰呈现面部血管走向与位置,引导针尖避开危险区域,确保注射在安全层次开展,大幅降低血管栓塞等严重并发症概率。
二是分层精准注射,效果更自然。玻尿酸填充效果高度依赖注射层次,骨膜层、脂肪层、真皮层效果截然不同。超声能清晰区分组织层次,确保材料注入最佳解剖位置——如面部提升需打在骨膜层实现强支撑,可有效避免浅层注射导致的肿胀、僵硬、不自然。
三是实时监控分布,提升满意度。操作中医生可实时观察玻尿酸分布,避免局部堆积、凹凸不平,同时结合软组织评估,为求美者定制个性化方案,兼顾安全与美观,让变美过程更可控、更放心。
专业团队护航
北京儿童医院顺义妇儿医院医学美容中心作为顺义区医疗美容质控中心,始终以 “崇德、仁爱、精诚” 为准则,持续引进前沿技术、拓展特色服务,以专业实力守护医美安全。

△医院党委副书记、知名专家郑雷文
由医院党委副书记、知名专家郑雷文领衔的专业团队,融合现有医疗美容资源,已成熟开展多例超声引导下玻尿酸填充,同时擅长眼整形、注射微整形、伤口美容缝合、面部年轻化设计、除皱及眼周精准水光注射,光电治疗等,兼顾整形美容与眼科疾病诊治,为求美者提供一站式专业服务。
郑雷文知名专家团队普通门诊:周一至周五 全天
郑雷文知名专家门诊:每周四 上午
出诊科室:医学美容中心(整形美容外科)
上一篇: 更年期潮热、失眠,为何半夜总想吃零食?

























